Auch im Kinder- und Jugendalter kann es schon zu Veränderungen oder Erkrankungen des Bewegungsapparates kommen. Diese sollten zeitnah erkannt und therapiert werden, da sie – anders als im Erwachsenenalter – oft noch positiv beeinflusst werden können. So kann späteren Problemen vorgebeugt werden.
... Oft haben Eltern Fragen zur Entwicklung ihres Kindes, z. B. ob die Füße richtig geformt sind, warum die Kinder nicht rechtzeitig greifen, sitzen, krabbeln oder stehen, ob das Gangbild normal ist, warum Kinder manchmal spontan über Gelenkschmerzen klagen u. v. m.
Nicht immer sind die Auffälligkeiten krankhaft, bedürfen aber einer entsprechenden Abklärung. Je früher in der kindlichen Entwicklung eine Auffälligkeit oder Beeinträchtigung erkannt wird, desto besser kann vorgebeugt und geholfen werden.
Die Spezialisierung Kinder- und Neuroorthopädie, mit der sich Frau Dr. Behnke und Frau Dr. Klein seit vielen Jahren beschäftigen, umfasst u.a. die Vorbeugung, Erkennung und Behandlung von
Gemeinsam mit den Eltern wird ein Konzept zur Therapie erstellt und in enger Zusammenarbeit mit Kinderärzten, anderen Spezialisten und/oder nichtärztlichen Kollegen, z.B. Physiotherapeuten, Ergotherapeuten, Logopäden oder Kinderpsychologen umgesetzt. Hierzu gehört bei Bedarf auch die intensive interdisziplinäre Kooperation mit sozialpädiatrischen Zentren (SPZ).
...Mit der Planung, Durchführung und Überwachung bei der Anpassung von erforderlichen orthopädischen Hilfsmitteln wie Einlagen, Schienen, Orthesen und Prothesen im Wachstumsalter sind Frau Dr. Behnke und Frau Dr. Klein bestens vertraut. Hierzu gehören:
Kinder sind wie Blumen. Man muss sich zu ihnen niederbeugen, wenn man sie erkennen will.
Friedrich Fröbel
Seit 2020 ist Frau Dr. Behnke im Kinderorthopädie-Zentrum Lübeck niedergelassen. Nach ihrem Medizinstudium in Hamburg und ihrer Promotion an der Kinderklinik des UKE Hamburg war sie zunächst als Ärztin im Praktikum in der Unfallchirurgie des UKE tätig. ...
Ihre orthopädische Facharztausbildung absolvierte sie an der Endoklinik Hamburg und der Universität Greifswald, bevor sie diese am UKSH Lübeck abschloss. Dort entschied sie sich zur weiteren Spezialisierung „Kinderorthopädie“, mit der sie als Funktions-Oberärztin für den Bereich Kinderorthopädie der Klinik zuständig war und das Projekt „Interdisziplinäre Kinderorthopädie“ mit der Klinik für Kinder- und Jugendmedizin leitete. Berufsbegleitend erwarb Frau Dr. Behnke in einem Master-Studiengang die Qualifikation „Neuroorthopädie / Disability Management“. Nach einer Zwischenstation im Kinder- und Jugendärztlichen Dienst des Gesundheitsamtes Bad Segeberg stieg sie mit halber Sonderbedarfszulassung in die kinderorthopädische Praxis von Frau Dr. Monika Ekkernkamp in Lübeck ein. Nach Ausscheiden von Frau Dr. Ekkernkamp führt sie diese seit 2024 gemeinsam mit Frau Dr. Klein als Kinderorthopädie-Zentrum Lübeck weiter.
Parallel betreut Frau Dr. Behnke die kinder- und neuroorthopädischen Sprechstunden des Kinderzentrums Schwerin, des Werner-Otto-Institutes in Hamburg sowie junge Erwachsene im Medizinischen Zentrum für Erwachsene mit Behinderungen (SIMI) in der Stiftung Alsterdorf in Hamburg.
Seit 2024 ist Frau Dr. Klein im Kinderorthopädie-Zentrum Lübeck niedergelassen. Parallel arbeitet und operiert sie weiter in der Schön Klinik Hamburg Eilbek. ...
Nach ihrem Medizinstudium an der Universität Witten/Herdecke, der Università degli Studi di Padova und der Rockefeller University New York promovierte Frau Dr. Klein an der Medizinischen Hochschule Hannover. Sie absolvierte zunächst die Facharztausbildung zur Allgemeinchirurgin am Bethesda Krankenhaus in Hamburg-Bergedorf und dem Ortho-Zentrum der Schön Klinik Hamburg-Eilbek, bevor sie sich für die Kinderorthopädie entschied und zunächst Fachärztin für Orthopädie und Unfallchirurgie wurde und anschließend in Hamburg und Göttingen die Zusatzbezeichnung Kinderorthopädie erwarb. Nach einer Zwischenstation als Sektionsleiterin Kinderorthopädie am Städtischen Klinikum Kassel zog es sie zurück nach Hamburg, wo sie seit 2021 als leitende Oberärztin der Abteilung für Kinder- und Neuroorthopädie tätig ist.

Die sorgfältige Erhebung der Krankengeschichte bildet die Grundlage der Diagnostik.

Die gründliche körperliche oder psychische Untersuchung ist wesentlicher Bestandteil der weiteren Behandlung.

Das sorgfältige Studium von Berichten anderer Fachärzte und vorangegangener Bildgebung beeinflusst die Behandlung. Übergeordnete Krankheitsbilder werden analysiert und berücksichtigt.

Der individuelle Wachstumsverlauf eines Kindes verläuft altersabhängig. Das kindliche Wachstum ist ein vielschichtiger Prozess, der von vielen unterschiedlichen Faktoren beeinflusst wird.

Sorgfältige klinische Kontrolluntersuchungen können häufige Röntgenkontrollen überflüssig machen und die Notwendigkeit einer Therapieänderung rechtzeitig erkennen.

Die Füße sind extrem wichtig für ein ungestörtes Gangbild und schmerzfreies Gehen. Im Wachstum können viele Fehlstellungen durch Einlagen- oder Orthesenversorgung oder auch kleinere Operationen dauerhaft positiv beeinflusst werden.

Ultraschall ist ein sicheres, schmerzloses, nebenwirkungsfreies Verfahren, das auch von kleinen Kindern sehr gut akzeptiert wird. Im Rahmen der U3-Untersuchung werden Hüftfehlstellungen (Hüftdysplasie oder Hüftluxation) erkannt, so dass sie zeitnah therapiert und größtenteils folgenfrei ausheilen können.

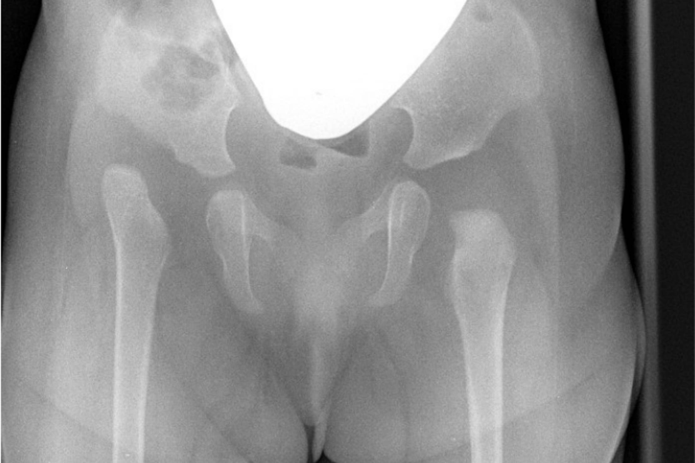
Manche Krankheitsbilder machen eine Röntgendiagnostik unumgänglich. Durch spezielle Kinderfilter wird die Strahlenbelastung für die kleinen Patienten minimiert.

Wenn eine orthetische Versorgung notwendig ist, muss die Passgenauigkeit und Effektivität der Orthesen immer wieder sorgfältig überprüft werden.
Liebe Eltern, liebe Patienten,
unsere Sprechzeiten rund um Weihnachten 2025 sind wie folgt:
Mo 22.12.2025:
08:00-12:00 Uhr und 14:00-17:00 Uhr
Di 23.12.2025:
08:00–13:00 Uhr
Mo 29.12.2025:
08:30-13:00 Uhr
Di 30.12.2025:
08:30-13:00 Uhr
Telefonisch sind wir an diesen Tagen für Sie
von 08:30 – 12:00 Uhr
erreichbar.
Am 24.12.2025 und am 31.12.2025 sowie am 02.01.2026 bleibt die Praxis geschlossen.
An diesen Tagen wenden Sie sich bitte an den
kinderärztlichen Notdienst bzw.
die Kindernotaufnahme des UKSH Lübeck.